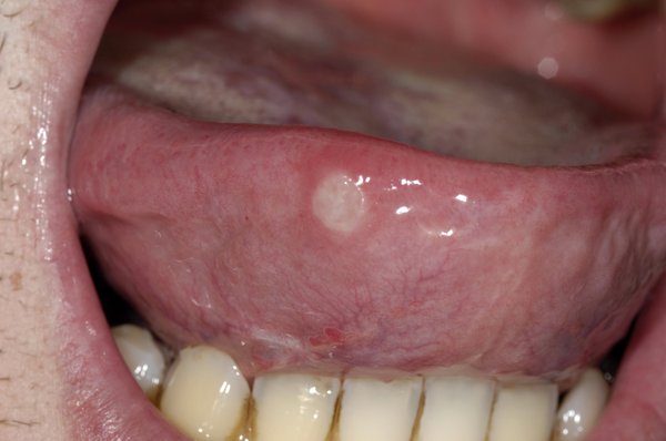
혓바늘, 흔히 혀에 생기는 작은 상처나 염증을 의미한다. 이러한 혓바늘은 매우 드물편이지만 문제는 불편하고 통증이 있다는 점이다. 특히 음식을 먹거나 말을 할 때 심한 통증이 동반되는데 이러한 혓바늘이 생기는 이유와 혓바늘 없애는법에 대한 이야기를 해보려고 한다.

혓바늘 원인
혓바늘이 생기는 원인은 매우 다양 하기 때문에 콕 찝어서 이야기가 하기가 힘들다. 비타민 B군이 부족한 경우 혓바늘이 생길수 있다는 연구결과가 있다. 특히 비타민 B12와 엽산이 부족한 경우 문제가 되는데 해당 성분들은 세포 재생에 중요한 역할을 하기 때문에 결핍 문제가 발생할 경우 입안에 점막 재생 능력이 떨어지게 되어 혓바늘이 생기기 쉬워진다.
혓바늘 생기는 이유중 피로해서 생긴다는 말을 종종 들어 봤을 것이다. 실제로 피로로 인한 면역력 저하는 단순포진 바이러스에 취약해질수 있다. 면역력이 떨어진 상태에서 더욱 빈번하게 나타날수 있기 때문에 만성피로 또는 독감이나 감기에 걸렸을때도 혓바늘이 생길수 있다.
피로와 유사하게 스트레스 문제도 있다. 스트레스는 신체 면역 기능을 저하시켜 혓바늘 발생 확률을 높이는 요인이 되기 때문에 스트레스와 면역력의 연관성도 무시할수 없고 입안 위생 관리 미흡으로 생기는 세균 증식 또한 혓바늘의 원인이 될수가 있으며 반대로 혓바늘이 생겼다고 양치질 같은 것을 하지 않으면 혓바늘 자연 치유 속도를 늦출수가 있다.
이외에 혓바늘 생기는 이유는 알레르기 문제나 또는 뜨거운 아니면 매운 음식을 먹으면서도 발생할수 있고 산성도가 높은 과일이라 음료를 마시는 경우에도 혓바늘이 발생할수 있다는 점을 유의해야 한다.
혓바늘 없애는법
혓바늘은 대개 스스로 치유가 되기 때문에 관리만 잘해주면 되는데 잘관리를 해줄 경우 혓바늘은 자연스럽게 빠른 치료가 될수 있다. 혀에 생긴 상처는 세균에 감염될 위험이 있는 만큼 아프더라도 양치질은 빼놓지 않는 것이 좋고 통증 때문에 괴롭지만 소금물로 가을을 해주는 것은 항균 작용을 하여 염증을 억제하고, 상처 부위를 소독 할수 있는 능력이 있으니 한번 해주는 것이 좋다.
필요하다면 약국 약을 구매하여 먹는 것도 있는데 주로 구내염 약이라고 하여 국소 항염제를 복용하는 것이다. 이와 유사한것이 혓바늘 때문에 먹는 것 자체를 불편해하는 것을 해소하기 위한 방법으로 연고를 발라주는 것이 있는데 알보칠도 있지만 알보칠은 주로 빠른 치료를 위해서 바르고 통증 완화를 즉각적으로 보고 싶다면 오라메디가 아무래도 좋다.
앞서 언급한 바와 같이, 비타민 B군, 특히 B12와 엽산 영양소를 챙겨주는 것도 좋다. 이를 보충해주는 것만으로도 혓바늘의 예방과 치유에 도움이 될 수 있기 때문이며 스트레스 관리 및 면역력이 저하되는 문제를 해결하는 것도 중요한 만큼 참고를 하자.
'건강' 카테고리의 다른 글
| 침에서 단맛이 느껴지는 이유 (1) | 2024.10.14 |
|---|---|
| 동충하초 분말가루 효능 6가지 (3) | 2024.10.13 |
| 심장에좋은 마카다미아 효능 (1) | 2024.10.11 |
| 콩나물 효능 및 부작용 (3) | 2024.10.10 |
| 구절초 효능 및 부작용 (2) | 2024.10.07 |